Aller au contenu
0%

Cancérologie cutanée

1. Concernant les traitements adjuvants du mélanome, indiquez la proposition exacte parmi les propositions suivantes :

2. Concernant les traitements néo-adjuvants du mélanome, indiquez les propositions exactes parmi les propositions suivantes :

3. Concernant les traitements du mélanome métastatique, indiquez la proposition exacte parmi les propositions suivantes :

4. Parmi les traitements suivants, lequel peut-être utilisé, en adjuvant, dans un mélanome de Breslow à 3,3 mm ulcéré, GS négatif ? (Plusieurs réponses possibles)

5. Parmi les traitements suivants, lequel peut-être utilisé, en adjuvant, dans un mélanome de Breslow à 3,3 mm non ulcéré, GS négatif ?

6. Concernant la toxicité cutanée des traitements du mélanome, indiquez la proposition exacte parmi les propositions suivantes :

7. Quelles sont les propositions exactes concernant les effets cellulaires et biologiques du rayonnement solaire ?

8. Quelles sont les propositions exactes concernant les effets biologiques et cliniques du rayonnement solaire ?

9. Quelles sont les propositions exactes concernant la photoprotection ?

10. Un jeune homme de 25 ans présente cette lésion latéro-faciale depuis un an. Il a également quelques lésions différentes éparses sur les membres. Vous avez une biopsie qui complétée d’une coloration spéciale montre cet aspect. Quel est votre diagnostic ?

Question Image

11. Un jeune homme de 25 ans présente cette lésion latéro-faciale depuis un an. Il a également quelques lésions différentes éparses sur les membres. Vous avez une biopsie qui complétée d’une coloration spéciale montre cet aspect. Comment s’appelle la coloration spéciale réalisée ?

Question Image

12. Un jeune homme de 25 ans présente cette lésion latéro-faciale depuis un an. Il a également quelques lésions différentes éparses sur les membres. Vous avez une biopsie qui complétée d’une coloration spéciale montre cet aspect.Quel(s) traitement(s) vous parai(ssen)t adapté(s) en 1ère intention ?

Question Image

13. Devant ces lésions nodulaires apparues en 3 mois sur le membre inférieur d’un patient de 85 ans. Quel est votre 1er diagnostic ?

Question Image

14. Devant ces lésions nodulaires apparues en 3 mois sur le membre inférieur d’un patient de 85 ans. Quel est le marqueur moléculaire (mutation ou ré-arrangement) associé à ce lymphome ?

Question Image

15. Devant ces lésions nodulaires apparues en 3 mois sur le membre inférieur d’un patient de 85 ans. Quel traitement proposez-vous en 1ère intention ?

Question Image

16. Un patient de 45 ans présente depuis 3 ans ces lésions du dos d’extension progressive. Quel est votre diagnostic à évoquer dès cette présentation clinique et avant même la biopsie ?

Question Image

17. Un patient de 45 ans présente depuis 3 ans ces lésions du dos d’extension progressive. Quel est le traitement de 1ère intention ?

Question Image

18. Un patient de 45 ans présente ce placard infiltré de la cuisse. Vous avez réalisé une biopsie profonde et observez cet aspect. Quel est votre diagnostic ?

Question Image

19. Un patient de 45 ans présente ce placard infiltré de la cuisse. Vous avez réalisé une biopsie profonde et observez cet aspect. Quel est l’examen de 1ère intention pour le bilan d’extension ?

Question Image

20. Un patient de 45 ans présente ce placard infiltré de la cuisse. Vous avez réalisé une biopsie profonde et observez cet aspect. Que devez-vous rechercher dans votre bilan biologique ?

Question Image

21. Un patient de 45 ans présente ce placard infiltré de la cuisse. Vous avez réalisé une biopsie profonde et observez cet aspect. Quel est le traitement de 1ère intention si le bilan biologique ne montre pas d’autre anomalie ?

Question Image

22. Quels sont les traitements utilisés dans la maladie de Kaposi post-transplantation ?

23. Chez une patiente ayant reçu une radiothérapie pour un cancer du sein, quel est le délai moyen d’apparition d’un angiosarcome radio-induit ?

24. Quel facteur pronostique est le plus associé à une meilleure survie chez les patients atteints d’angiosarcome cutané ?

25. Quels sont les facteurs de risques de récidive d’un carcinome épidermoïde cutané ?

26. Quelles sont les propositions exactes concernant la prise en charge d’un CEC résécable à risque élevé de récidive ?

27. Quel traitement systémique de première ligne doit être envisagé en cas de CEC avancé ?

28. Laquelle(s) des propositions suivantes est/sont exacte(s) à propos du carcinome basocellulaire ?

29. Laquelle(s) des propositions suivantes est/sont exacte(s) à propos du carcinome basocellulaire ?

30. Quel type de réaction cutanée peut être observée avec les antis-PD-1 ? (Plusieurs réponses possibles)

31. Concernant l’éruption acnéiforme induite par les inhibiteurs EGFR, quelles sont les réponses fausses ?

32. Les carcinomes annexiels se divisent en 3 groupes principaux, lesquels ?

33. Les carcinomes annexiels :

34. Les carcinomes trichoblastiques sont :

35. Quelle(s) propositions est/sont exacte(s) ?

36. Quelle(s) propositions est/sont exacte(s) ?

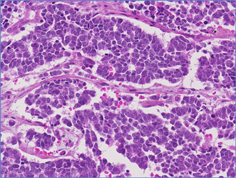
37. Quels sont les marqueurs immunohistochimiques typiques de Carcinome de Merkel ?

Question Image

38. Femme 65ans, Carcinome de Merkel T2N0M0. Quel traitement proposez-vous ?

Question Image

39. Homme 86 ans, sans comorbidités, carcinome de Merkel de constitution rapide, adénopathies bilatérales cervicales (T4/N3/M0). Quel traitement en 1ère ligne ?

 

Question Image

40. Les carcinomes épidermoïdes des transplantés :

41. Concernant la prévention primaire et secondaire des carcinomes cutanés :

42. Les traitements des carcinomes des transplantés :

Your score is